Врачи впервые диагностировали вертикальный перелом пениса: как он выглядит и в каких позах его можно получить

Автор
2328
Врачи впервые диагностировали вертикальный перелом пениса: как он выглядит и в каких позах его можно получить

Необычный случай. Такого в мире еще не было

В Великобритании 40-летний мужчина получил вертикальный перелом полового члена, после того, как уперся пенисом в промежность партнера. Такой случай стал первым в мире.

Об этом сообщает BMJ.

Как уточняют авторы, перелом полового члена чаще всего случается в возрасте старше 40 лет. При этом самыми опасными позами считаются:

  • догги-стайл
  •  мужчина сверху
  • поза при оральном сексе
  • секс с игрушками
  • поза наездницы
  • самоудовлетворение
Сломал пенис вертикально

Во время перелома происходит разрыв белочной оболочки, которая покрывает наполненные кровью пещеристые тела. Обычно мужчина слышит хлопок, после этого почти сразу же пропадает эрекция, пенис сильно опухает и синеет. Наибольшая опасность в том, что травма требует срочного хирургического вмешательства.

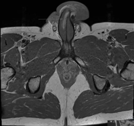
В описываемом случае пациент не слышал хлопка, а его пенис оставался эрегированным некоторое время.

МРТ зафиксировала вертикальный разрыв длиной три сантиметра с правой стороны члена. Ученые не смогли сфотографировать гениталии из-за антиковидных ограничений, но приложили к работе снимок томографа.

Как сообщал "Телеграф", ранее в Москве 50-летний мужчина отрезал собственный половой орган и вышел с ним на улицу.