Есть ли эпидемия гриппа в Украине: ответ инфекциониста

Автор
Есть ли эпидемия гриппа в Украине: ответ инфекциониста

Грипп в Украине – явление не новое. Как и паника вокруг эпидемии гриппа. Однако в этом году эпидемия гриппа в Украине вызывает особенно острые споры в медицинской среде.

Несмотря на то, что эпидемия гриппа в Украине признана официально, некоторые врачи высказывают мнение, что грипп 2016 года ничем не отличается от гриппа в прошлые годы, что ситуация нагнетается искусственно, что от отравления грибами умирает людей не меньше.

Так есть ли эпидемия гриппа в Украине? Действительно ли существует необходимость продлевать карантин в школах Киева?

Вы можете сделать свои выводы, прочитав мнение доктора медицинских наук, профессора, главного внештатного специалиста МОЗ по специальности инфекционные заболевания Ольги Голубовской, которым она поделилась на своей странице в Facebook.

Сталкиваясь ежедневно с тяжелейшими больными каким-то там гриппом, просто не могу не отреагировать на некоторые посылы "специалистов" в области инфекционных болезней, возмущающихся таким вниманием к "обычной" ситуации по гриппу...

Если коротко:

1. Да, эпид. пороги вплоть до недавнего времени были не превышены во многих регионах. Но в том-то и дело, что, несмотря на обычное количество заболевших для данного сезона, количество умерших уже в несколько раз превышает все показатели за последние несколько лет. Причем умирают, заметьте, молодые люди, преимущественно из известных групп риска – в 2009 году пик смертности, по данным CDC (Атланта) был 24-49 лет, в этом году узнаем позже. Поэтому главное в данной ситуации не показатели заболеваемости, а показатели смертности. И этот вирус – проблема не так детей, как взрослых.

2. Да, от других болезней тоже умирают, в т.ч. и от отравления грибами... Но некоторые штаммы вируса гриппа способны вызвать чрезвычайную ситуацию в области общественного здравоохранения, почему и попадают под регуляцию международных медико-санитарных правил. За короткий промежуток времени вспышка может лечь тяжким бременем на наши слабые системы здравоохранения, формируется дефицит ресурсов, в т.ч. и медицинских.

3. Почему растет смертность от штамма H1, который ослабел и в объявленный ВОЗ постпандемический период с 2010 г. вел себя как обычные сезонные штаммы? Вероятно, вирус видоизменился, детали узнаем позже после секвенирования генома референс-лабораториями, материал Украина уже отправила в Лондон на этой неделе.

4. Представьте, мы имеем высокоэффективные средства специфического лечения гриппа, о них уже много говорилось – ингибиторы вирусной нейраминидазы. Мы уже давно лечим вирусные инфекции (ВИЧ, уже и гепатит С и др.) препаратами прямого действия, не антибиотиками (прошу прощение у специалистов за банальщину).

5. Также мы имеем средство специфической профилактики (гриппа) – вакцину, которая предотвращает тяжелые, смертельно опасные формы гриппа.

6. Неспецифическая профилактика (гриппа), помимо всего остального, включает также мытье рук, уборку помещений, т.к. вирус может какое-то время сохраняться и на предметах обихода...

Напоследок всем скептикам желаю не оказаться в ситуации, которая перевернет их представление об обыденности процесса.

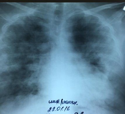
Вот очередной снимок пациента 34 лет, поступившего вчера в 5 утра на 6-ой (!) день болезни с сатурацией (насыщение артериальной крови кислородом) до 40% (кто не знает, в норме до 100%). К сожалению, сегодня его уже нет.

грипп, эпидемия гриппа, вирус гриппа

P.S. Пожалуйста, не мешайте работать, не приплетайте политику, не демонстрируйте некомпетентность, имейте хотя бы элементарную коллегиальность...

Подробнее о вирусе гриппа, признаках гриппа и об эпидемии гриппа 2016 смотрите в видео: